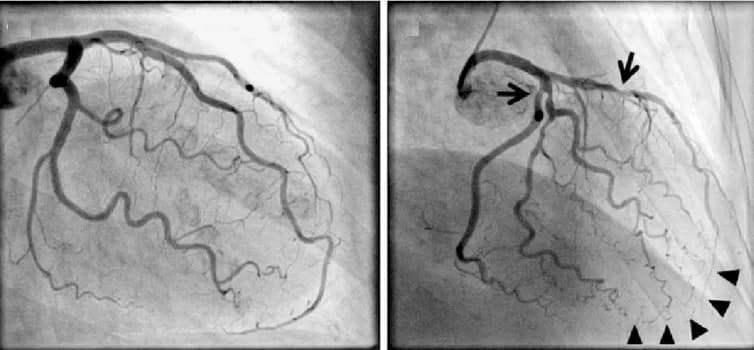
Chủ đề bài viết
chụp động mạch vành
Khám phá các bài viết và kiến thức chuyên môn về chụp động mạch vành. Nội dung được biên soạn và kiểm duyệt bởi đội ngũ chuyên gia tại Phòng khám Tim mạch & Siêu âm BS Phạm Xuân Hậu.
Danh sách bài viết (4)

điện tâm đồbệnh mạch vànhđau thắt ngựcthiếu máu cục bộchụp động mạch vành
Dấu hiệu gợi ý chẩn đoán đau thắt ngực ổn định
Đau thắt ngực ổn định là tình trạng đau ngực do thiếu máu cơ tim khi tim làm việc gắng sức, không có diễn biến xấu đi tr...
Xem chi tiết →
bệnh mạch vànhnhồi máu cơ timđặt stent động mạch vànhchụp động mạch vànhnong động mạch vành
Ưu điểm của kỹ thuật chụp, nong và đặt stent động mạch vành
Bài viết cung cấp thông tin về bệnh mạch vành, nguyên nhân và các phương pháp chẩn đoán (chụp động mạch vành) và điều tr...
Xem chi tiết →
bệnh mạch vànhđau thắt ngựcyếu tố nguy cơ tim mạchchụp động mạch vànhsàng lọc bệnh mạch vành
Việc sàng lọc bệnh lý động mạch vành bao gồm những gì?
Bài viết cung cấp thông tin về sàng lọc bệnh mạch vành, bao gồm các đối tượng cần sàng lọc (người có triệu chứng đau thắ...
Xem chi tiết →
can thiệp mạch vànhbệnh tim mạchsức khỏe tim mạchchụp động mạch vànhkhám bệnh tim
Chụp Động Mạch Vành: Giải Đáp Thắc Mắc và Can Thiệp Mạch Vành
Bệnh tim mạch, đặc biệt là bệnh động mạch vành, đã trở thành một trong những nguyên nhân hàng đầu gây tử vong tại Việt N...
Xem chi tiết →