Chủ đề bài viết
doxorubicin
Khám phá các bài viết và kiến thức chuyên môn về doxorubicin. Nội dung được biên soạn và kiểm duyệt bởi đội ngũ chuyên gia tại Phòng khám Tim mạch & Siêu âm BS Phạm Xuân Hậu.
Danh sách bài viết (2)

suy timdoxorubicinđộc tính hóa trịđộc tính cơ timcardiotoxicity
Nguy cơ làm suy tim khi hóa trị ung thư bằng thuốc doxorubicin như thế nào?
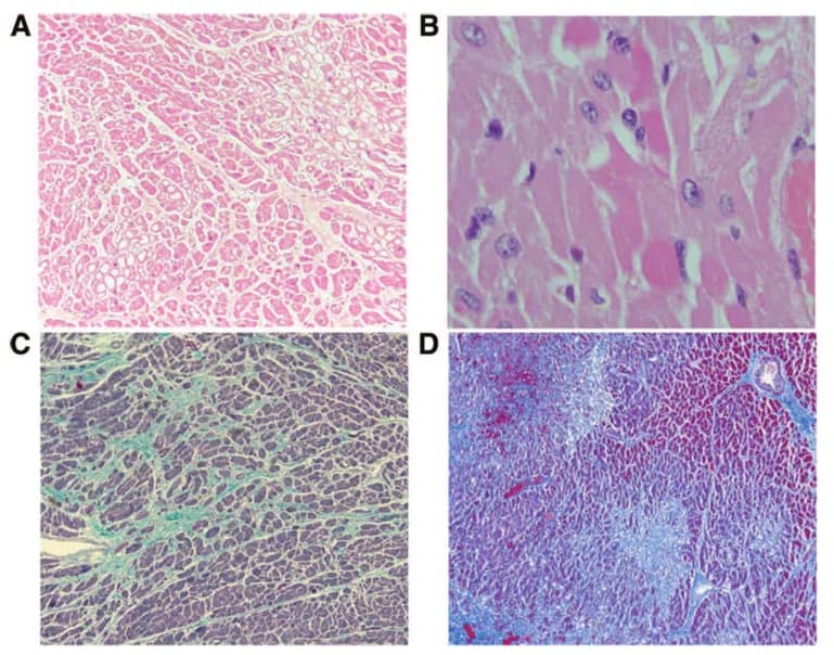
Doxorubicin là một kháng sinh thuộc nhóm anthracycline gây độc tế bào được phân lập từ môi trường nuôi cấy Streptomyces ...
Xem chi tiết →
suy timdoxorubicindexrazoxaneđộc tính của thuốc điều trị ung thư
Làm thế nào để bảo vệ cơ tim khi hoá trị với doxorubicin
Bài viết này cung cấp thông tin về độc tính tim của doxorubicin, một loại thuốc điều trị ung thư vú. Các biện pháp phòng...
Xem chi tiết →