
Tăng Huyết Áp Do Hẹp Eo Động Mạch Chủ: Tổng Quan
Tăng huyết áp do bệnh hẹp eo động mạch chủ là một dạng tăng huyết áp thứ phát do bệnh lý bẩm sinh hẹp eo động mạch chủ gây nên. Bệnh hẹp eo động mạch chủ chiếm tỷ lệ 5-8% các bệnh lý tim bẩm sinh.
1. Hẹp Eo Động Mạch Chủ Là Gì?
Định nghĩa: Hẹp eo động mạch chủ là tình trạng hẹp động mạch chủ ngang đoạn eo động mạch chủ. Đây là dạng gặp chủ yếu trong các trường hợp hẹp mạch chủ. Nó thường được mô tả liên quan đến vị trí của ống động mạch. Hẹp eo động mạch chủ có thể trước ống động mạch, tại ống động mạch hay sau ống động mạch.
Đặc điểm: Bệnh có thể gặp ở tất cả các lứa tuổi, chiếm 5-8% các bệnh lý tim bẩm sinh. Hẹp eo động mạch chủ có thể có dạng nếp gấp, hay còn gọi là tổn thương dạng thắt lưng, tổn thương dạng màng ngăn hoặc tổn thương dạng ống do thiểu sản một đoạn động mạch chủ.
Theo Hiệp hội Tim mạch Hoa Kỳ (AHA), hẹp eo động mạch chủ là một dị tật tim bẩm sinh, trong đó động mạch chủ bị thu hẹp, làm tăng áp lực máu ở phần trên cơ thể và giảm áp lực máu ở phần dưới cơ thể.
2. Cơ Chế Bệnh Sinh Tăng Huyết Áp
- Nguyên nhân: Tăng huyết áp xảy ra trên nhiều bệnh nhân bị hẹp eo động mạch chủ. Tuy nhiên việc giải thích cơ chế gây ra tăng huyết áp vẫn còn nhiều bàn cãi bởi nó không chỉ đơn thuần là do tắc nghẽn cơ học.
Có 3 lý do giải thích hiện tượng tăng huyết áp trong hẹp eo động mạch chủ được đề cập đến, đó là yếu tố cơ học (tắc nghẽn làm tăng sức cản mạch máu), yếu tố thần kinh (tắc nghẽn làm thay đổi cảm ứng áp lực động mạch cảnh) và yếu tố thận (thiếu máu thận).
- Tăng huyết áp kịch phát: Tăng huyết áp kịch phát xảy ra trong vòng 1 tuần sau phẫu thuật sửa chữa hẹp eo động mạch chủ, hay còn gọi hiện tượng tăng huyết áp dội ngược được xem là thứ do tăng hoạt động hệ giao cảm và co thắt mạch máu phản ứng phần xa cũng như tăng hoạt động renin.
Theo một nghiên cứu trên PubMed, cơ chế bệnh sinh của tăng huyết áp trong hẹp eo động mạch chủ rất phức tạp và liên quan đến sự tương tác giữa yếu tố cơ học, thần kinh và nội tiết tố. Sự gia tăng sức cản mạch máu do hẹp eo động mạch chủ dẫn đến kích hoạt hệ renin-angiotensin-aldosterone, gây tăng huyết áp.
3. Các Thể Lâm Sàng
3.1. Ở Trẻ Sơ Sinh và Trẻ Nhỏ
Biểu hiện: Đây là dạng biểu hiện sớm của hẹp eo động mạch chủ, thường gặp trong trường hợp hẹp eo động mạch chủ trước ống động mạch, với bệnh cảnh lâm sàng nặng.
Triệu chứng: Những trẻ này có tuần hoàn phụ thuộc ống động mạch, khi ống động mạch tắt, tình trạng tưới máu phần dưới cơ thể sẽ không còn và đưa đến bệnh cảnh trụy mạch.
Dấu hiệu gợi ý: Một khi mạch bẹn yếu, huyết áp chi trên và chi dưới chênh lệch nhau có ý nghĩa là những yếu tố gợi ý hẹp eo động mạch chủ ở trẻ sơ sinh.
Nghiên cứu của Crossland và cộng sự ghi nhận huyết áp chi trên > huyết áp chi dưới 20mmHg có giá trị chẩn đoán hẹp eo động mạch chủ với độ nhạy 92%.
3.2. Ở Trẻ Lớn và Người Lớn
Biểu hiện: Đây là dạng biểu hiện muộn của hẹp eo động mạch chủ, gặp ở trẻ lớn hay người lớn với biểu hiện tăng huyết áp chi trên và nghe được tiếng thổi ở gian sườn II cạnh ức trái, hoặc ở phía lưng do máu chảy qua chỗ hẹp.
Triệu chứng:
- Huyết áp tăng rất cao kèm chênh lệch huyết áp chi trên và chi dưới. Tăng huyết áp thường xuất hiện sau 15 ngày tuổi. Khi sau tuổi 15 huyết áp của bạn thường trở nên cố định, không giảm xuống được dù đã giải quyết nguyên nhân.
- Mạch bẹn bắt yếu, có thể không bắt được ở trường hợp nặng.
- Tiếng thổi tâm thu ở vùng dưới đòn trái, có thể lan sau lưng tới vị trí cạnh cột sống.
Nên đo huyết áp cả 2 tay và chân để so sánh, ngoài hiện tượng huyết áp chi trên cao hơn chi dưới, một số trường hợp có thể gặp huyết áp tay phải cao hơn tay trái khi vùng hẹp lan xuống chỗ xuất phát động mạch dưới đòn trái, hay ngược lại huyết áp tay trái cao hơn tay phải, gặp trọng một số ít các trường hợp có động mạch dưới đòn phải xuất phát bất thường ở phần xa của hẹp eo động mạch chủ.
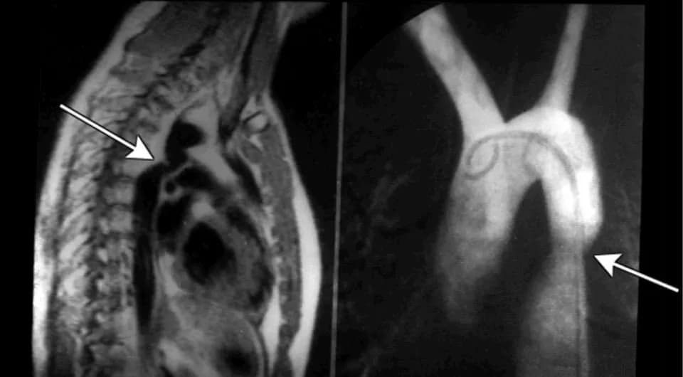
4. Chẩn Đoán
X-quang ngực: Có thể bình thường, trong trường hợp kinh điển có thể thấy dấu hiệu 3 cung ở động mạch chủ, dấu ấn xương sườn.
Điện tâm đồ: Phát hiện được dấu hiệu tăng gánh thất trái, tuy nhiên nó không cho phép chẩn đoán bệnh.
Siêu âm Doppler tim: Thường hữu ích ở trẻ nhỏ, ở người lớn thì khó đánh giá hơn. Trên siêu âm có thể xác định vị trí của chỗ hẹp, đo được chênh áp qua eo động mạch chủ, phát hiện các bất thường bẩm sinh phối hợp như van động mạch chủ hai lá van, tắc nghẽn đường ra thất trái, hẹp van hai lá…
Chụp cắt lớp vi tính động mạch chủ: Là phương tiện quyết định chẩn đoán hẹp eo động mạch chủ ở người lớn. Trên phim chụp xác định được vị trí, hình thái chỗ hẹp, các tuần hoàn bàng hệ và các tổn thương phối hợp.
Thông tim chẩn đoán: Đưa các dụng cụ qua đường mạch máu ngoại biên (động mạch đùi hoặc động mạch quay) để chụp chỗ hẹp và tuần hoàn bàng hệ. Hẹp eo động mạch chủ được chẩn đoán khi chênh áp trên 10mmHg giữa động mạch chủ lên và động mạch chủ xuống. Tuy nhiên chênh áp không phản ánh mức độ hẹp vì có thể ảnh hưởng bởi các tuần hoàn bàng hệ.
Chẩn đoán hẹp eo động mạch chủ dựa trên X-quang.
5. Điều Trị
Tùy theo hình thái lâm sàng hẹp eo động mạch chủ mà có thái độ xử trí thích hợp. Đối với những trường hợp biểu hiện sớm và nặng ở trẻ sơ sinh cần sử dụng truyền prostaglandin E1 để mở lại ống động mạch, đồng thời hồi sức tích cực để ổn định bệnh nhân và mổ cấp cứu sửa chữa hẹp eo tái tạo lưu thông qua chỗ hẹp.
Điều trị còn ống động mạch chủ yếu bằng phẫu thuật, tuy nhiên trong các trường hợp cấp cứu có thể điều trị tạm thời bằng một số thuốc. Các trường hợp hẹp eo động mạch chủ nhẹ có thể thích nghi với cuộc sống không cần phẫu thuật. Do vậy, chỉ định phẫu thuật được dành cho các bệnh nhân có chênh lệch áp lực giữa chi trên và chi dưới >20mmHg khi nghỉ hoặc hẹp >50% đường kính động mạch.
Hẹp eo động mạch chủ là một dị tật dễ bị bỏ sót chẩn đoán. Đo huyết áp và bắt mạch cả chi trên và chi dưới là các biện pháp cần thiết trong khám lâm sàng. Phẫu thuật có kết quả tốt. Nong chỗ hẹp bằng bóng nên thực hiện ở các trung tâm có điều kiện.
- Quy tụ đội ngũ y bác sĩ hàng đầu về Nhi khoa: gồm các chuyên gia đầu ngành, có trình độ chuyên môn cao (giáo sư, phó giáo sư, tiến sĩ, thạc sĩ), giàu kinh nghiệm, từng công tác tại các bệnh viện lớn như Bạch Mai, 108.. Các bác sĩ đều được đào tạo bài bản, chuyên nghiệp, có tâm - tầm, am hiểu tâm lý trẻ. Bên cạnh các bác sĩ chuyên khoa Nhi trong nước, khoa Nhi còn có sự tham gia của các chuyên gia nước ngoài (Nhật Bản, Singapore, Úc, Mỹ) luôn tiên phong áp dụng những phác đồ điều trị mới nhất và hiệu quả nhất.
Nguồn: Tạp chí Tim mạch học Việt Nam
Thẻ bài viết
Cập nhật lần cuối
31 tháng 3, 2025