
U Nhày Nhĩ: Tổng Quan và Những Điều Cần Biết
U nhày nhĩ là một loại u lành tính phát triển trong tâm nhĩ của tim, thường xuất phát từ vách liên nhĩ (vách ngăn giữa tâm nhĩ trái và tâm nhĩ phải). Đây là một bệnh lý tim mạch không phổ biến nhưng có thể gây ra những biến chứng nghiêm trọng nếu không được phát hiện và điều trị kịp thời.
1. Triệu Chứng Của U Nhày Nhĩ
Các triệu chứng của u nhày nhĩ có thể rất đa dạng và thường không đặc hiệu, dễ bị nhầm lẫn với các bệnh lý tim mạch khác. Triệu chứng thường biểu hiện rõ hơn khi thay đổi tư thế:
- Khó thở khi nằm: Do u chèn ép vào van hai lá, cản trở dòng máu từ nhĩ trái xuống thất trái, gây ứ huyết ở phổi.
- Đau ngực, cảm giác bóp nghẹt: Có thể do u gây thiếu máu cục bộ ở cơ tim hoặc do tăng áp lực trong lồng ngực.
- Hoa mắt, chóng mặt: Do giảm lưu lượng máu lên não vì u cản trở dòng máu hoặc gây rối loạn nhịp tim.
- Trống ngực: Do rối loạn nhịp tim, thường là nhịp nhanh hoặc rung nhĩ.
- Ngất (đôi khi): Trường hợp nặng, u có thể chèn ép hoàn toàn van hai lá, gây ngừng trệ dòng máu và dẫn đến ngất đột ngột.
Theo Mayo Clinic, các triệu chứng có thể xuất hiện và biến mất tùy thuộc vào vị trí và kích thước của khối u.
2. Nguyên Nhân và Yếu Tố Nguy Cơ
- U nhày nhĩ là u tiên phát, tức là bắt nguồn từ chính các tế bào trong tim, không phải do di căn từ các cơ quan khác. Khác với các khối u thứ phát, thường là kết quả của sự lan rộng ung thư từ các bộ phận khác của cơ thể đến tim thông qua đường máu hoặc xâm lấn trực tiếp.
- U nhày là loại u tim phổ biến nhất, chiếm khoảng 50% các trường hợp u tim tiên phát. Theo Cleveland Clinic, u nhày thường có dạng hình tròn hoặc oval, bề mặt nhẵn hoặc sần sùi, và có thể có cuống.
- Thường gặp ở nhĩ trái (khoảng 75-80% trường hợp), ít gặp hơn ở nhĩ phải. U nhày nhĩ trái thường xuất phát từ vách liên nhĩ, gần lỗ bầu dục (foramen ovale).
- Nữ giới có nguy cơ mắc bệnh cao hơn nam giới. Tỷ lệ mắc bệnh ở nữ giới cao gấp 2-4 lần so với nam giới.
- Khoảng 10% trường hợp có yếu tố gia đình, liên quan đến các đột biến gen như PRKAR1A (hội chứng Carney). Những trường hợp này thường xuất hiện ở nhiều vị trí trong tim và ở người trẻ tuổi hơn.
3. Chẩn Đoán U Nhày Nhĩ
Để chẩn đoán u nhày nhĩ, bác sĩ sẽ sử dụng các phương pháp sau:
- Điện tim (ECG): Có thể phát hiện các dấu hiệu gián tiếp như rối loạn nhịp tim, lớn nhĩ trái.
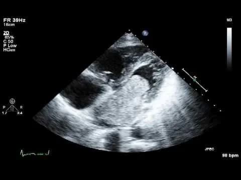
- Siêu âm tim: Đây là phương pháp chẩn đoán hình ảnh quan trọng nhất, giúp xác định vị trí, kích thước, hình dạng và mức độ di động của khối u. Siêu âm tim qua thực quản (TEE) cho hình ảnh rõ nét hơn so với siêu âm tim qua thành ngực (TTE).
- Chụp CT tim: Giúp đánh giá chi tiết hơn về cấu trúc tim và các mạch máu lớn, đặc biệt hữu ích khi cần phân biệt u nhày với các loại u tim khác.
- MRI tim: Cung cấp hình ảnh có độ phân giải cao, cho phép đánh giá chính xác thành phần và đặc tính của khối u.
4. Biến Chứng Của U Nhày Nhĩ
Mặc dù là u lành tính, u nhày nhĩ có thể gây ra các biến chứng nguy hiểm, thậm chí đe dọa tính mạng nếu không được điều trị kịp thời:
- Tắc mạch do u vỡ và di chuyển đến các bộ phận khác (não, tạng, chi): Các mảnh vỡ của u có thể theo dòng máu đến các cơ quan khác, gây tắc nghẽn mạch máu và dẫn đến nhồi máu não (đột quỵ), nhồi máu tạng (đau bụng dữ dội), hoặc thiếu máu chi (đau, lạnh, tím tái chi).
- Ngất hoặc đột tử do u chèn ép van hai lá, gây tắc nghẽn dòng máu: Khi u có kích thước lớn và di động nhiều, nó có thể chèn ép vào van hai lá, cản trở dòng máu từ nhĩ trái xuống thất trái, gây giảm cung lượng tim và dẫn đến ngất hoặc đột tử.
5. Điều Trị U Nhày Nhĩ
- Phẫu thuật cắt bỏ u: Đây là phương pháp điều trị chính và hiệu quả nhất cho u nhày nhĩ. Phẫu thuật thường được thực hiện bằng cách mở ngực và sử dụng tuần hoàn ngoài cơ thể để đảm bảo tim ngừng đập trong quá trình phẫu thuật. Bác sĩ sẽ cắt bỏ toàn bộ khối u, bao gồm cả cuống u, và kiểm tra kỹ lưỡng để đảm bảo không còn sót lại tế bào u.
- Có thể cần tạo hình van hai lá hoặc van ba lá nếu van tim bị ảnh hưởng: Trong một số trường hợp, u nhày có thể gây tổn thương van tim, dẫn đến hở van hoặc hẹp van. Khi đó, bác sĩ có thể cần thực hiện thêm phẫu thuật tạo hình hoặc thay van tim để khôi phục chức năng van tim.
Sau phẫu thuật, bệnh nhân cần được theo dõi định kỳ để phát hiện sớm các biến chứng hoặc tái phát u. Tái phát u nhày nhĩ là rất hiếm, nhưng vẫn có thể xảy ra, đặc biệt ở những bệnh nhân có yếu tố gia đình.
Thẻ bài viết
Cập nhật lần cuối
31 tháng 3, 2025